Ringiovanire con l'implantologia
L'implantologia dentale
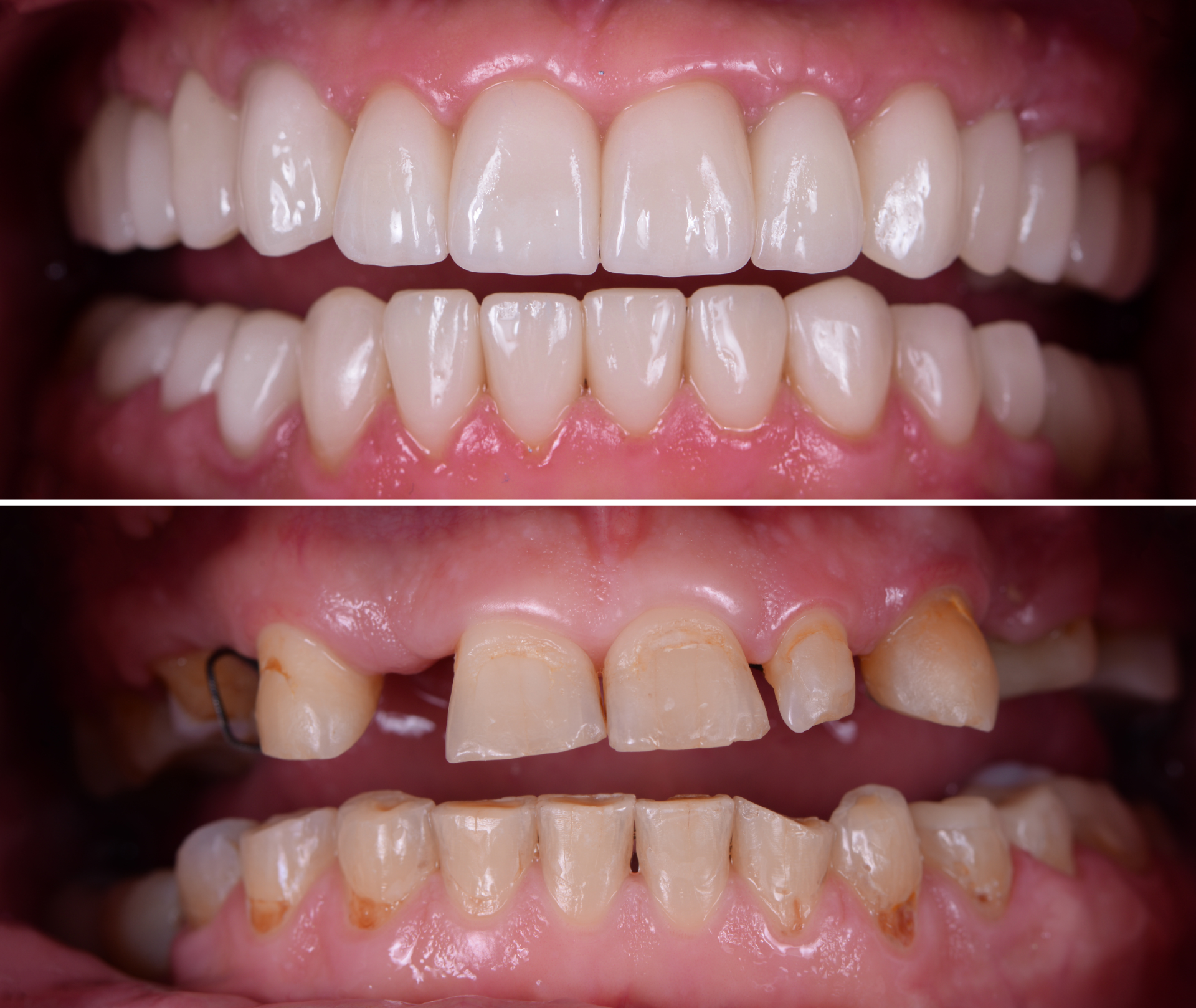
L’implantologia dentale è una tecnica che consente di sostituire elementi dentari perduti o irrecuperabili con delle radici artificiali che possono essere in titanio o di altri materiali.
Quest'ultime sono composte da un materiale biocompatibile capace di legarsi all’osso naturale.
Dopo che è avvenuta l’osteointegrazione le radici artificiali saranno in grado di sostenere dei nuovi denti (in diversi materiali tra cui eccelle la ceramica) o delle protesi più estese.
Andiamo a scoprire nel dettaglio che cos’è un impianto dentale e vari tipi di trattamento.
Che cos’è un impianto dentale?
Quando si parla di impianto dentale si fa riferimento ad una piccola vite realizzata per lo più in titanio, utilizzata con lo scopo di andare a sostituire la radice del dente naturale che per vari motivi è venuto a mancare. Generalmente, i classici impianti dentali sono formati da tre elementi:
1- La vite endossea: svolge la funzione della radice del dente; ne esistono di diverse forme, fogge e lunghezze. È il clinico che decide quelle più adatte per il caso specifico.
2- L’abutment: ha la funzione di unire la vite in titanio con l’elemento che si sovrappone (dente o protesi); anche in questo caso sono numerosi tipi e modelli da scegliere con accuratezza.
3- La protesi dentaria: indica la parte utilizzata per sostituire il dente perso. Come la vite, anche la protesi può essere realizzata in vari materiali come ceramica o resina. La cosa più complessa di questa parte è la ricerca dell’armonia di forme e colori salvaguardando la funzione masticatoria.
Quali sono le fasi dell’implantologia?
Prima di procedere con l’intervento, la prima cosa da fare è un’analisi completa delle situazioni organiche generali e specifiche della zona da trattare. Tra di esse si ricercano: patologie in atto o passate, l’assunzione di farmaci, la presenza di malattie croniche come il diabete e l’ipertensione. La situazione organica locale si valuta con l’esame obiettivo, le radiografie, i calchi in gesso, le fotografie e, se è il caso con la CBCT (TAC).
In base alle risultanze dello studio della situazione, si decide il tipo di impianto e di dente da realizzare.
Le fasi dell’implantologia sono:
Preparazione e realizzazione dell’intervento
In questa fase, vi troverete all’interno di un ambiente decontaminato e ricoperto di teli sterili dove il dentista vi preparerà per l’intervento.
Prima di procedere, si somministra un anestetico locale.
La durata della fase operatoria è variabile: da meno di 40 minuti a oltre due ore, a seconda della complessità del caso e dal numero di impianti da realizzare.
Dopodiché vi verrà prescritta la terapia da seguire per i successivi sette giorni (a seconda dei casi: antibiotici, antinfiammatori, cortisonici ed integratori). Assieme all’eventuale terapia farmacologica vi verranno suggeriti tutti i comportamenti consigliati per minimizzare e annullare i più comuni effetti collaterali della cura, alimentazione compresa.
Protesi provvisoria
In alcuni casi è possibile consegnare subito una protesi provvisoria da portare durante il periodo di guarigione(impianto a carico immediato), in altri casi è necessario attendere qualche giorno (impianto a carico differito).
Dopo l'intervento
Per quanto riguarda l’impianto a carico immediato, si intende l’inserimento sia dell’impianto dentale che della corona protesica provvisoria nella stessa seduta o al massimo entro 36 ore. Una volta che sono trascorsi circa 3-4 mesi, viene collocata la protesi definitiva.
Nel caso dell’impianto a carico differito, il trattamento si svolge in due fasi: l’inserimento nell’osso dell’impianto dentale alla cui estremità viene inserita una vite di guarigione da portare per un tempo di attesa che può variare dai tre ai quattro mesi. Questo periodo di tempo consente all’impianto dentale di fissarsi all’interno dell’osso. La seconda fase prevede il confezionamento della protesi trascorso il periodo di guarigione.
Fase di cicatrizzazione: quando parliamo di fase di cicatrizzazione facciamo riferimento al processo in cui si forma l’osso intorno all’impianto in modo totalmente indolore.
Fase di posizionamento della protesi definitiva: una volta che il dentista ha controllato lo stato dell’impianto provvisorio, il protesista procede con la creazione della protesi definitiva, che viene fissata grazie all’uso di un pilastro di cui esistono numerose fogge e modelli, ma che solitamente si realizza su misura eseguendo delle impronte.
Fase di controllo: dal momento in cui si è concluso il trattamento, si procede con i controlli periodici.
Il trattamento è doloroso?
Il trattamento non è affatto doloroso poiché prima di procedere con l’impianto dentale al paziente viene somministrata l’anestesia locale. Soprattutto per l’implantologia dentale vengono utilizzati anestetici efficaci che non provocano nessun disagio, a meno che non esista una particolare sensibilità che il paziente avrà interesse nel segnalare prima del trattamento. Una volta eseguito l’impianto, come dicevamo sopra, al paziente vengono prescritti tutti i farmaci da assumere nei giorni successivi.
C’è un’età ideale per procedere con l’implantologia?
Tutte le persone possono essere sottoposte a questo tipo di intervento, in quanto le modalità di guarigione sono identiche per ogni persona e per ogni età. Possono capitare eventuali complicazioni nel caso in cui si stia facendo il trattamento ad una persona diabetica o che assume farmaci per altre patologie. Per questo motivo la fase preliminare, diretta a tutte le valutazioni sulla situazione organica generale, assume molta rilevanza.







